모든 아름다움에는 오리진(Origin)이 필요합니다.
만들어진 아름다움이 아닌, 발견된 아름다움
모든 아름다움에는 오리진(Origin)이 필요합니다.
만들어진 아름다움이 아닌, 발견된 아름다움
왜 오블리브 일까요?
오블리브의원 서울 오리진점이
특별한 이유








Seoul Origin Doctors
피부를 이해하는 의사의 깊이가 결과를 만듭니다.
문지은
대표원장

김도윤
수석원장

한이슬
원장

이성철
원장

이예솔
원장

이지인
원장

신정민
원장

문지은
대표원장

김도윤
수석원장

한이슬
원장

이성철
원장

이예솔
원장

이지인
원장

신정민
원장

깊이가 다르면, 대답도 달라야 합니다.
깊이가 다르면,
대답도 달라야 합니다.
겉만 훑는 시술로는 닿을 수 없는 변화, 문제의 근원까지 정확하게 파고듭니다
겉만 훑는 시술로는 닿을 수 없는 변화,
문제의 근원까지 정확하게 파고듭니다


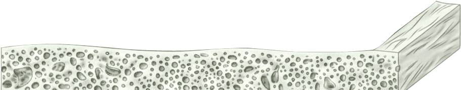
골층

근육층


피하지방층

진피 하층

진피 상층

표피층
진피 전층
근막층
01
표피층 (epidermis)
피부의 가장 바깥층으로, 피부결, 색소, 장벽 기능과 관련이 깊습니다.
주로 색소 치료, 흉터 개선, 피부 결 정돈을 위한 시술들이 배치되어 있습니다.
주요시술
시술종류
장비
주사
실
엑소좀

MCT

큐어젯

리바이브

블레싱

써펙트

포텐자

피코

CO2



골층

근육층


피하지방층

진피 하층

진피 상층

표피층
진피 전층
근막층
01
표피층 (epidermis)
피부의 가장 바깥층으로, 피부결, 색소, 장벽 기능과 관련이 깊습니다.
주로 색소 치료, 흉터 개선, 피부 결 정돈을 위한 시술들이 배치되어 있습니다.
주요시술
시술종류
장비
주사
실
엑소좀

MCT

큐어젯

리바이브

블레싱

써펙트

포텐자

피코

CO2



골층

근육층


피하지방층

진피 하층

진피 상층

표피층
진피 전층
근막층
01
표피층 (epidermis)
피부의 가장 바깥층으로, 피부결, 색소, 장벽 기능과 관련이 깊습니다.
주로 색소 치료, 흉터 개선, 피부 결 정돈을 위한 시술들이 배치되어 있습니다.
주요시술
시술종류
장비
주사
실
엑소좀

MCT

큐어젯

리바이브

블레싱

써펙트

포텐자

피코

CO2

Real Review
아침이슬처럼빛나
26.02.13

수디큐
26.02.13

설이4826
26.02.13

달리는토끼
26.02.13


che
26.02.13

ri Yu
26.02.13

아침이슬처럼빛나
26.02.13
설이4826
26.02.13

che
26.02.13

수디큐
26.02.13


달리는토끼
26.02.13


ri Yu
26.02.13

아침이슬처럼빛나
26.02.13

che
26.02.13

달리는토끼
26.02.13

설이4826
26.02.13

수디큐
26.02.13


ri Yu
26.02.13

오블리브의원 서울 오리진점,
피부 건강의 첫걸음
피부 고민은 이제 그만,
오블리브 인스타그램에서
나만의 맞춤 케어를 찾아보세요.
피부 고민은 이제 그만, 오블리브 인스타그램에서
나만의 맞춤 케어를 찾아보세요.
@obliv
오블리브의원 서울 오리진점


@jdoosod
안녕하세요, 오블리브의원입니다. 숨 가쁘게 달려온 일상을 잠시 내려놓고, 소중한 사람들과 함께 따스한 온기를 나누는 설 연휴 되시길 바랍니다. 새해 복 많이 받으세요. 오블리브의원 드림


@jdoosod Copydd
올 한 해 앞만 보고 달려온 당신, 정말 고생 많으셨습니다. 😊 오블리브가 준비한 2025년 끝자락의 선물, 지친 몸과 마음을 채우는 ’가장 건강한 보상‘으로 한 해를 빛나게 마무리하세요. ◡̈ ༘ *


@jdoosod Copydd Copy
누가 케이씨엠 같다해서 이후로 못 입은 옷 😂 오블리브 의원에서 요즘 대세인 중안부 리프팅받고 즉각적으로 중안부가 짧아진 느낌이나서 신기했는데 사진에도 더 잘 나오는거 같아 기분까지 좋아요 (❁´▽`❁) 앞으로도 꾸준히 받고 후기 올려볼게요!!


@jdooddfff
문신 제거, 더 빠르게 오블리브 리프톤피코제로™ 피코레이저만으론 부족했던 색소 제거 한계를 체외충격파 리프톤으로 극복했습니다. 초정밀 분해(PICO) + 재생 가속화(LIFTANG) → 평균 시술 횟수 감소 → 색소 배출 촉진 → 회복력 & 통증까지 고려한 프로그램 잦은 시술로 지치셨다면, 이제는 피부 깊은 곳까지 속도와 효과, 회복까지 설계하였습니다.


@jdooddfff Copy
12월, 고요히 기쁜 날들이 이어지는 달입니다. 🎄 오블리브는 12/25(수) 크리스마스 당일만 휴진합니다. 나머지 일정은 정상 운영됩니다. 따뜻한 연말 보내세요. 🎅🏼 오블리브의원 드림
#오블리브 #인천송도 #송도피부과 #문제성발톱 #송도도수치료
오블리브의원 서울 오리진점 오시는길
Obliv Clinic Map
주소
피부체형 클리닉
서울특별시 종로구 청계천로 93 파고다타워 1~4층
문제성발톱 클리닉
서울특별시 종로구 청계천로 93 파고다타워 5층
재활의학 클리닉
서울특별시 종로구 청계천로 93 파고다타워 B1층
대중교통
지하철
1호선
종각역, 종로3가역
도보 5분
2호선
을지로 입구역, 을지로3가역
도보 5분
3호선
종로3가역, 을지로3가역
도보 5분
버 스
종로2가 삼일교(중)역 (도보 1분)
광역버스
간선버스
5000, 5005, G8110
470, 501, 701, 741, N37
진료시간
월 - 금
토 - 일
점심시간
10:00 - 21:00
10:00 - 19:00
13:00 - 14:00
오블리브의원 서울 오리진점 오시는길
Obliv Clinic Map
주소
피부체형 클리닉
서울특별시 종로구 청계천로 93 파고다타워 1~4층
문제성발톱 클리닉
서울특별시 종로구 청계천로 93 파고다타워 5층
재활의학 클리닉
서울특별시 종로구 청계천로 93 파고다타워 B1층
대중교통
지하철
모든 지하철역에서 도보 5분
1호선
종각역, 종로3가역
2호선
을지로 입구역, 을지로3가역
3호선
종로3가역, 을지로3가역
버 스
종로2가 삼일교(중)역 (도보 1분)
광역버스
간선버스
5000, 5005, G8110
470, 501, 701, 741, N37
진료시간
월 - 금
토 - 일
점심시간
10:00 - 21:00
10:00 - 19:00
13:00 - 14:00